Hygiène dentaire au quotidien : "Gardez vos dents propres tout au long du traitement"

Tout au long d’un traitement multibagues, l’hygiène dentaire (autrement dit le brossage) est extrêmement importante.

Source : Fédération Française d’Orthodontie

Mais à quoi ça sert de se brosser les dents ?

Le brossage des dents est le seul moyen de lutter efficacement contre les caries.

Il permet, en effet, de supprimer les débris alimentaires et de limiter la plaque dentaire, responsable avec les bactéries, des caries.

Car on le sait, après chaque repas, des débris alimentaires vont se déposer sur et entre les dents. Les bactéries présentent dans la bouche vont transformer ces débris alimentaires en acide. Et après chaque repas, l’acidité de la bouche augmente. C’est justement cette acidité qui va attaquer les dents.

Voici ce qui se passe quand on laisse des débris d’aliments sur les dents : les bactéries se multiplient et ça grouille là dedans ! Beurk !

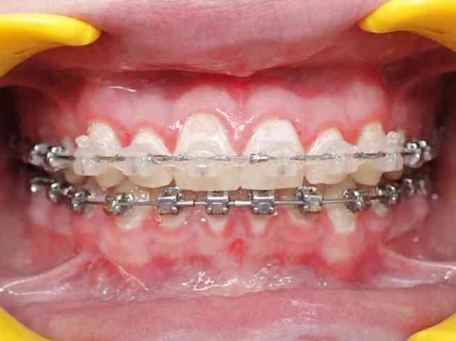
Voici la démarche à suivre pour brosser soigneusement vos dents et votre appareil :

Le matériel nécessaire

  • Une brosse à dent en bon état (elle doit être changée dès que les poils s’émoussent)
  • Des brossettes interdentaires
  • Un bon dentifrice
  • Du temps ! Un bon brossage dure environ 3 minutes (le temps de votre chanson préférée)

La méthode de brossage en 3 étapes

Etape 1, brosse à dents et dentifrice durant 3 minutes

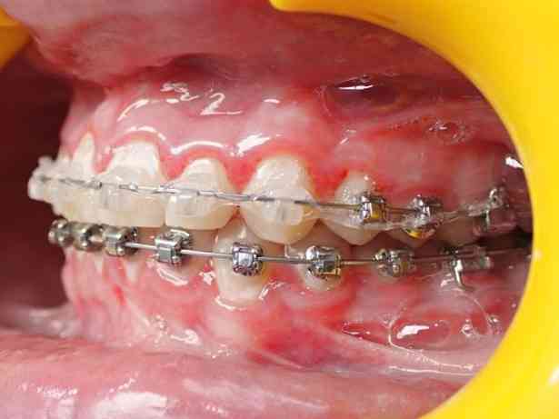
Commencez par brosser les dents du haut avec un premier geste horizontal, parcourant bien toute la longueur. Pensez bien à aller jusqu’au fond pour nettoyer aussi les molaires et les prémolaires.

 

 

 

 

 

 

Inclinez ensuite la brosse à dent, et brossez en biais au dessus des boîtiers des dents du haut, toujours avec un mouvement de gauche à droite, allant bien jusqu’au fond. Il faut nettoyer au-dessus du boîtier, et aussi brosser la gencive.

 

 

 

Brossez ensuite les dents du bas avec un geste horizontal sur les boîtiers, allant toujours bien jusqu’au fond de la bouche !

 

 

 

 

Inclinez ensuite la brosse à dent en biais au dessous des boîtiers des dents du bas, et pensez toujours à aller bien jusqu’au fond de la bouche.

 

 

 

N’oubliez pas de brosser derrière les dents, et au dessus des molaires et prémolaires. Le brossage doit durer 3 minutes.

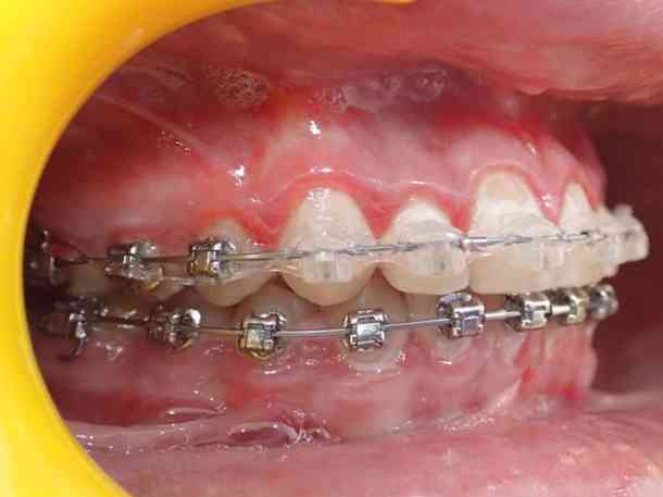
Etape 2, la brossette interdentaire

S’il reste des aliments coincés dans l’appareil, on peut compléter le brossage avec une brossette interdentaire. Il faut faire passer la brossette derrière le fil et entre les boîtiers.

Etape 3, le contrôle, il faut que ça brille !

Une fois le brossage terminé, vérifiez dans un miroir que vos dents sont bien propres et que votre appareil brille. Si vos dents apparaissent ternes avec des restes d’aliments ou un dépôt blanchâtre (plaque dentaire), alors il faut rebrosser.

 

Bonus, le bain de bouche

Pour parfaitement terminer votre brossage, vous pouvez le compléter par un rinçage avec un bain de bouche fluoré.

 

Si vous respectez parfaitement toutes ces étapes tout au long de votre traitement, alors vous favoriserez largement la réussite de votre traitement !

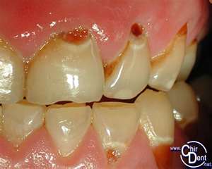
Les risques d'un brossage insuffisant

Tout au long de votre traitement, le brossage est extrêmement important. Il vous permet de conserver des dents blanches après le traitement, mais il vous protège aussi de risques tels que l’apparition de caries, de tâches blanches, et d’inflammation des gencives.

Lorem ipsum dolor sit amet, consectetur adipiscing elit. Ut elit tellus, luctus nec ullamcorper mattis, pulvinar dapibus leo.

1. Les tâches

Si le brossage est mauvais durant le traitement, une fois l’appareil dentaire retiré, vous risquez de découvrir des tâches blanches sur les dents.

2. Les caries

Si le brossage n’est pas suffisant, les dents peuvent être attaquées et des caries risquent d’apparaître.

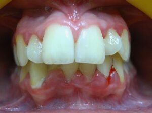
3. Les gingivites

Si le brossage n’est pas correct, des inflammations des gencives peuvent apparaître, ce sont les gingivites. Les gencives peuvent alors gonfler et saigner.

Vous l’avez compris, tout au long de votre traitement, un bon brossage est indispensable, et c’est votre responsabilité.

Vous seuls pouvez intervenir à ce niveau-là, n’hésitez pas à lire nos conseils pour un bon brossage des dents avec un appareil multibagues.

Votre cabinet a déménagé

Nouvelle adresse : 

13 rue de la gare
69330 MEYZIEU

Tél ( inchangé) 04 78 58 40 13

Arrêt Meyzieu Gare : bus 65, 85 et 87 et tram

Parking Marcel Cerdan (5 min à pied) : 32 rue Henri Lebrun, 69330 Meyzieu