Le cas d’agénésie d’incisives latérales supérieures

L’agénésie est un terme qui désigne l’absence d’une dent sur l’arcade.

Les incisives latérales supérieures sont les dents le plus souvent touchées par ce problème.

La dent peut être absente seulement d’un côté, ou des deux côtés. Parfois une dent est absente, et l’autre est un peu plus petite, ou même naine, on dit qu’elle est en grain de riz.

Il existe plusieurs solutions de traitement : la solution implantaire et la solution biologique.

1. La solution implantaire

Durant le traitement, on recrée ou on maintient un espace qui permettra ensuite d’installer un implant.

Avantages Inconvénients


  • L’esthétique du sourire est préservé car l’implant remplace la dent


  • Les dents adjacentes sont préservées il n’est pas nécessaire de les tailler


  • La canine reste à sa place et jouera pleinement son rôle de guide dans les mouvements
  • Le coût de l’implant est à prévoir, ils ne sont pas remboursés par la sécurité sociale, il faut se renseigner auprès de sa mutuelle.
  • L’évolution dans le temps reste imprévisible. Dans certains cas, le pilier de l’implant pourra devenir visible avec le temps, ou la dent pourra paraître plus courte.
  • Généralement l’implant ne peut être mis qu’en fin de croissance. En attendant, l’orthodontiste peut installer une plaque de contention avec des fausses dents, ou le dentiste ou l’implantologue peut installer un bridge collé.
  • Une petite intervention chirurgicale est nécessaire pour la pose de l’implant.

2. La solution prothétique

Dans cette solution, on recrée ou on maintient aussi les espaces pour qu’un bridge soit réalisé après le traitement.

Mais c’est votre dentiste qui réalisera une « fausse » dent qui s’appuiera sur une ou toutes les dents voisines.

Avantages Inconvénients
  • L’esthétique du sourire est préservé en conservant le bon nombre de dents


  • La canine reste à sa place et jouera pleinement son rôle de guide dans les mouvements


  • Pas besoin d’attendre la fin de la croissance pour remplacer la dent manquante
  • Le coût reste à prévoir même s’il est moins élevé qu’avec un implant.

  • Certaines situations ne permettent pas la mise en place du bridge.

  • une coopération étroite entre l’orthodontiste et le dentiste est nécessaire

  • un contrôle régulier chez le dentiste est nécessaire

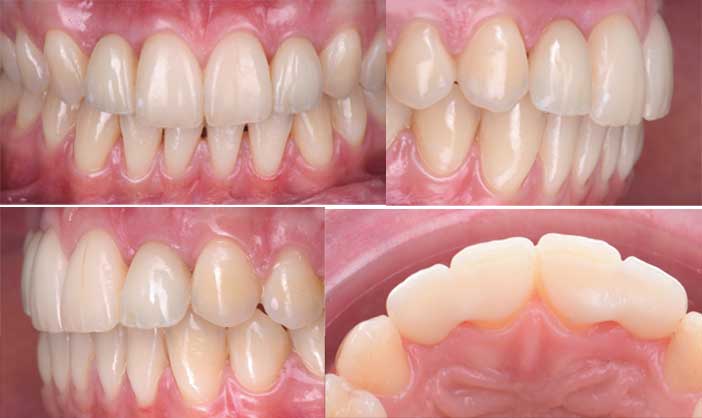
Voici un cas illustrant cette deuxième solution (le fil dentaire, Mathieu Contrepois, 28/02/2020

Situation du début : il manque deux dents
Le dentiste colle deux bridges pour remplacer les fausses dents
Situation finale

3. La solution biologique

Dans cette solution, on referme les espaces : La canine prend la place de l’incisive manquante.

La première prémolaire prend la place de la canine.  

Et toutes les dents sont ainsi décalées d’une place.

De ce fait, la première molaire se trouve dans la position dite « classe II thérapeutique ».

 

AvantagesInconvénients
  • Cette solution est peu coûteuse
 
 
  • Elle se réalise durant le temps du traitement orthodontique
  • L’esthétique va dépendre de la couleur et de la forme de la canine.
 
  • Un espace peut se rouvrir entre l’incisive et la canine du fait du fonctionnement des dents.

Cette dernière solution dépend de la forme, la couleur de la canine…. Voici l’exemple d’un cas « favorable » : notre miss France 2020 auquel il manque une incisive en haut à droite… L’aviez vous remarqué ?

source : Miss France 2020 (voici)

Dans certains cas, l’une ou l’autre des solutions peut être plus indiquée. Toutefois, pour chaque traitement, une réflexion devra être menée conjointement entre le patient, les parents, le dentiste traitant, l’implantologue si nécessaire, et l’orthodontiste, pour choisir la solution qui sera retenue.

Votre cabinet a déménagé

Nouvelle adresse : 

13 rue de la gare
69330 MEYZIEU

Tél ( inchangé) 04 78 58 40 13

Arrêt Meyzieu Gare : bus 65, 85 et 87 et tram

Parking Marcel Cerdan (5 min à pied) : 32 rue Henri Lebrun, 69330 Meyzieu