La pose d'un appareil multi-attaches vestibulaire

L’appareil multi-bagues vestibulaire se compose de boîtiers collés sur la face visible de la dent, et d’un fil qui relie ces boîtiers.

Voici comment se pose l’appareil multi-bague :

1. Les dents sont d’abord nettoyées avec une brosse à dent électrique.

2. On installe ensuite un écarte-joue qui permet au praticien de bien voir toutes les dents.

3. Une pompe est installée afin d’aspirer la salive pour pouvoir coller au sec.

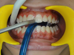
4. Le praticien dépose un produit bleu sur les dents à l’aide d’une seringue, mais il n’y a pas de piqure !

5. Une fois sec, le produit est aspiré.

6. A l’aide d’une souflette, les dents sont d’abord rincées, et ensuite séchées pour obtenir un aspect bien blanc et sec.

7. Le praticien passe un produit sur les dents à l’aide d’un pinceau.

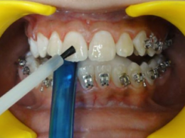
8. Le collage des boitiers commence. Les boitiers sont déposés et positionnés sur les dents un à un

9. Le praticien passe une lampe photopolymérisable bleue qui va faire durcir la colle. Les boîtiers sont collés !

10. Une fois que tous les boîtiers sont collés, le praticien installe le fil dans les boîtiers et l’attache à l’aide de petits caoutchoucs. Pour terminer, les extrémités des fils sont coupées pour ne pas blesser la joue.

Et voilà c’est terminé !

La séance se termine par des explications concernant la présentation de l’appareil, le brossage, et les précautions au niveau de l’alimentation.

Dans toutes ces étapes, la dent n’est pas attaquée, tout est posé sur la dent, la pose ne fait donc pas mal ! Rassurez-vous !​

Votre cabinet a déménagé

Nouvelle adresse : 

13 rue de la gare
69330 MEYZIEU

Tél ( inchangé) 04 78 58 40 13

Arrêt Meyzieu Gare : bus 65, 85 et 87 et tram

Parking Marcel Cerdan (5 min à pied) : 32 rue Henri Lebrun, 69330 Meyzieu