La bielle de Herbst

Qu’est-ce que la bielle de Herbst ?

La bielle est un appareil qui sert à corriger le décalage des mâchoires.

Elle est utilisée lorsque les dents du haut sont trop en avant des dents du bas. C’est un appareil orthopédique, c’est-à-dire qu’il n’agit pas sur les dents mais qu’il a un effet au niveau du squelette.

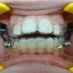
Vue de Droite
Vue de Face
Vue de Gauche

 

 

Comment fonctionne la bielle de Herbst ?

La bielle est un appareil qui agit en freinant la croissance de la mâchoire du haut et en stimulant la croissance de la mandibule. Cela permet une harmonisation du profil.

L’appareil est fait d’un système de gouttières et d’activateurs : ce sont les bielles présentes de chaque côté.

Comment porter la bielle ?

Pour que le traitement fonctionne, il faut porter l’appareil en permanence, jour et nuit, sauf pour manger et pour le brossage des dents.

Comme il s’agit de gouttières, l’appareil est très discret en bouche.

Comment nettoyer la bielle de Herbst ?

La bielle se nettoie en utilisant une brosse à dents et un peu de dentifrice. Il suffit de la brosser à chaque brossage des dents.

On peut faire tremper la bielle une fois par semaine dans un verre d’eau avec une pastille pour désinfecter l’appareil.

vue de droite
vue de face
vue de gauche

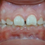
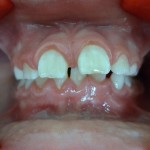
Photos avant et après traitement par Bielle

Votre cabinet a déménagé

Nouvelle adresse : 

13 rue de la gare
69330 MEYZIEU

Tél ( inchangé) 04 78 58 40 13

Arrêt Meyzieu Gare : bus 65, 85 et 87 et tram

Parking Marcel Cerdan (5 min à pied) : 32 rue Henri Lebrun, 69330 Meyzieu