La Grille

 

La grille est un appareil qui est installé pour aider les patients qui n’arrivent pas à arrêter de sucer leur pouce par eux-même.

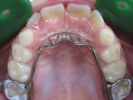
Il se pose sur la mâchoire supérieure et est constitué de deux bagues sur les molaires (anneaux métalliques qui entourent les dents), sur lesquelles une grille est soudée.

Grille vue d'en dessous

Mise en place de la grille

La grille est un appareil orthodontique qui nécessite deux rendez-vous après le compte-rendu :

  • 1er rendez-vous : prise d’empreintes et mise en place de séparateurs
  • 2ème rendez-vous : Pose de l’appareil

Attention : La grille dérange les premiers jours, c’est normal ! Il faut un temps d’adaptation.

La grille et les autres appareils

La grille est souvent associée à d’autres appareils selon les besoins du traitement :

  • Avec une force extra-orale, ou casque, s’il y a besoin d’un recul de la mâchoire supérieure
  • Avec un minibagues s’il y a besoin de réaligner les dents supérieures
  • Avec une plaque à vérin s’il y a besoin d’élargir la mâchoire supérieure (dans ce cas l’appareil est amovible et la grille est coulée dans la résine)

Le brossage avec une grille

Le brossage des dents avec une grille s’effectue normalement. Il suffit d’insister un peu plus au niveau des molaires, et de bien brosser aussi la grille au niveau du palais. Cela ne demande pas de technique particulière.

Réussir un traitement avec une grille

Durant le traitement, il est déconseillé de manger des bonbons et des aliments collants (caramel, Carambar, Twix, Mars, etc.), car ces aliments fragilisent l’appareil et risquent de desceller les bagues. Pour les gourmandises, il est préférable de choisir du chocolat, des gâteaux, ou des glaces.

Il est également très important de ne pas jouer avec l’appareil et de ne pas mettre les doigts dans la bouche. Cela pourrait tordre ou casser la grille.

Lorsque l’on est sûr que l’enfant ne suce définitivement plus son pouce, la grille peut être enlevée.

Votre cabinet a déménagé

Nouvelle adresse : 

13 rue de la gare
69330 MEYZIEU

Tél ( inchangé) 04 78 58 40 13

Arrêt Meyzieu Gare : bus 65, 85 et 87 et tram

Parking Marcel Cerdan (5 min à pied) : 32 rue Henri Lebrun, 69330 Meyzieu