Les disjoncteurs

Qu’est-ce que le disjoncteur ?

En cas de problème important de largeur de mâchoire, les molaires du haut se trouvent poussées à l’intérieur des molaires du bas. 

La mâchoire supérieure est composée de plusieurs parties, reliées par une structure au centre du palais.

Avant 16 ans, cette structure peut-être facilement disjointe par un disjoncteur, afin de corriger le problème de largeur de mâchoire.

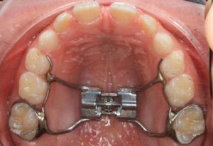
L’appareil est composé de 2 bagues placées sur les molaires, et soudées à un vérin.

Disjoncteur vu du dessous
Le disjoncteur est un appareil qui sert à élargir la mâchoire supérieure.

Le traitement par disjoncteur

Cet appareil doit être activé régulièrement pendant une dizaine de jours. L’activation peut se faire soit au cabinet, soit à la maison.

Dans ce cas-là, nous montrerons à l’un des parents comment activer l’appareil.

Pendant l’activation, les parents remarqueront un espacement important des deux dents de devant : c’est tout à fait normal !

Il signifie que le disjoncteur a parfaitement fonctionné. Pas de panique, cet espace se fermera spontanément dans les mois futurs…

Le suivi du traitement avec un disjoncteur

10 jours après la pose de l’appareil, le praticien vérifiera si l’activation est suffisante.

Il décidera alors s’il faut continuer encore quelques jours ou non.

Une fois que la bonne largeur de mâchoire sera obtenue, le praticien reverra le patient toutes les sept semaines environ pour contrôler la stabilisation.

Se brosser les dents avec un disjoncteur

Avec un disjoncteur, le brossage des dents s’effectue presque normalement. Il suffit d’insister un peu plus au niveau des molaires, et de bien brosser aussi le vérin qui passe au niveau du palais. Cela ne nécessite pas de technique particulière.

Réussir un traitement avec disjoncteur

Durant un traitement avec disjoncteur il est déconseillé de manger des bonbons et des aliments collants (Caramels, Carambar, Twix, Mars, etc.), car ce genre d’aliment a tendance à fragiliser l’appareil et à desceller les bagues. Pour les gourmandises, il est préférable de choisir du chocolat, des gâteaux, ou des glaces.

Il est également très important de ne pas jouer avec l’appareil et d’éviter de mettre les doigts dans la bouche. Cela pourrait tordre ou casser le disjoncteur.

Pour réussir un traitement avec un disjoncteur : éviter les bonbons et les aliments collants, et ne pas jouer avec l’appareil !

Source : Fédération Française D’Orthodontie

Parfois, des accessoires peuvent être ajoutés au disjoncteur selon les besoins : des crochets supplémentaires ou des cales en résine…

Votre cabinet a déménagé

Nouvelle adresse : 

13 rue de la gare
69330 MEYZIEU

Tél ( inchangé) 04 78 58 40 13

Arrêt Meyzieu Gare : bus 65, 85 et 87 et tram

Parking Marcel Cerdan (5 min à pied) : 32 rue Henri Lebrun, 69330 Meyzieu