Les plaques à Vérin

La plaque à verin est un appareil qui permet d’élargir la mâchoire du haut lorsque celle-ci est plus petite que la mâchoire du bas.

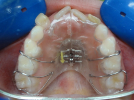
Elle est constituée d’une grande partie en résine qui a la forme du palais, d’un vérin au milieu, et de crochets qui permettent le maintien de l’appareil. L’activation du vérin permet d’élargir la mâchoire.

Le traitement avec une plaque à vérin

C’est un appareil qu’il faut porter en permanence, de jour comme de nuit, et qu’il faut garder pour manger.

On enlève la plaque uniquement pour le brossage des dents.

 

Pour activer l’appareil, on commence par le retirer.

Puis on le prend dans le creux de la main et on utilise la clé qui est fournie lors de la pose de l’appareil.

Il faut l’insérer dans le trou que l’on aperçoit dans le vérin, et la pousser dans le sens de la flèche jusqu’au blocage et jusqu’à ce que l’on voit complètement le trou suivant.

Plaque à verin vue de dessous

On active la plaque une fois le mercredi et une fois le dimanche. Il est important de bien vérifier qu’au fur et à mesure des activations, le vérin s’ouvre bien et que les 2 parties de résine s’écartent bien l’une de l’autre. Si ce n’est pas le cas, il faut contacter le cabinet.

Cela fait un peu bizarre les premiers jours, souvent on zozote, mais en la portant bien, la langue s’habitue et cela disparait.

Réussir un traitement avec une plaque à vérin

Bien garder la plaque pour manger

  1. Ne pas casser la plaque : ne pas la laisser tomber ni l’enlever pour la montrer
  2. Ne pas jouer avec la plaque dans sa bouche et avec la langue !
  3. Enlever la plaque uniquement avec les doigts et jamais avec la langue

 

Le nettoyage de la plaque à vérin et le brossage des dents

Il faut enlever la plaque à vérin pour le brossage des dents, puis se brosser les dents normalement.

On nettoie la plaque à ce moment-là en la brossant avec une brosse à dent et un peu de dentifrice, puis en la rinçant bien.

Une fois par semaine, il est possible de faire tremper la plaque pour la désinfecter dans un verre d’eau et une pastille de désinfectant (ex : stéradent).

Le suivi du traitement par plaque

Le Docteur va revoir le patient toutes les 7 semaines pour vérifier l’appareil et l’élargissement de la mâchoire.

Votre cabinet a déménagé

Nouvelle adresse : 

13 rue de la gare
69330 MEYZIEU

Tél ( inchangé) 04 78 58 40 13

Arrêt Meyzieu Gare : bus 65, 85 et 87 et tram

Parking Marcel Cerdan (5 min à pied) : 32 rue Henri Lebrun, 69330 Meyzieu