Les Quad helix

Qu’est-ce que le Quad Helix ?

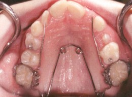
Le Quad Helix est un appareil qui sert à élargir la mâchoire supérieure. Il est composé de deux bagues placées sur les 2 premières molaires supérieures et d’une tige métallique qui passe au niveau du palais et qui est soudée aux bagues. Cette tige agit comme un ressort et élargit peu à peu la mâchoire.

vue du dessous

Le traitement avec un Quad Helix

Cet appareil nécessite deux rendez-vous après le compte-rendu :

  • Un premier rendez-vous pour faire une empreinte et mettre en place les séparateurs
  • Un deuxième rendez-vous pour la pose du Quad Helix

Après la pose, les dents peuvent alors être sensibles quelques jours (essentiellement au niveau des molaires).

Dans ce cas-là, il faut utiliser le Doliprane prescrit sur l’ordonnance le temps que ça passe.

« Au début du traitement, l’appareil peut être gênant pour manger, parler ou avaler sa salive. Il peut aussi faire « zozoter » un peu.

Rassurez vous c’est passager !

Il suffit d’attendre 2 à 3 premiers jours du traitement.

Pour aider, il est préférable de manger mou (compote ou purée, par exemple, aliments coupés en morceaux). « 

Réussir un traitement avec un Quad Helix

Durant le traitement, il est déconseillé de manger des bonbons et des aliments collants (caramel, Carambar, Twix, Mars, etc.), car ce genre d’aliments a tendance à fragiliser l’appareil et à desceller les bagues. Pour les gourmandises, il préférable de  choisir du chocolat, des gâteaux, ou des glaces.

Il est aussi très important de ne pas « tripoter » l’appareil, et de ne pas mettre les doigts dans la bouche. En effet, cela pourrait tordre ou casser le Quad Helix.

Le brossage avec un Quad Helix

Le brossage des dents avec un Quad Helix s’effectue normalement, il suffit d‘insister un peu plus au niveau des molaires, et de bien brosser aussi au niveau du fil qui passe au niveau du palais. Cela ne nécessite pas de technique particulière.

Le suivi du traitement Quad Helix

Le Docteur va revoir le patient toutes les 7 semaines environ pour contrôler le traitement, et pour activer à nouveau l’appareil si besoin.

Au total, le patient gardera l’appareil environ 6 mois.

Votre cabinet a déménagé

Nouvelle adresse : 

13 rue de la gare
69330 MEYZIEU

Tél ( inchangé) 04 78 58 40 13

Arrêt Meyzieu Gare : bus 65, 85 et 87 et tram

Parking Marcel Cerdan (5 min à pied) : 32 rue Henri Lebrun, 69330 Meyzieu